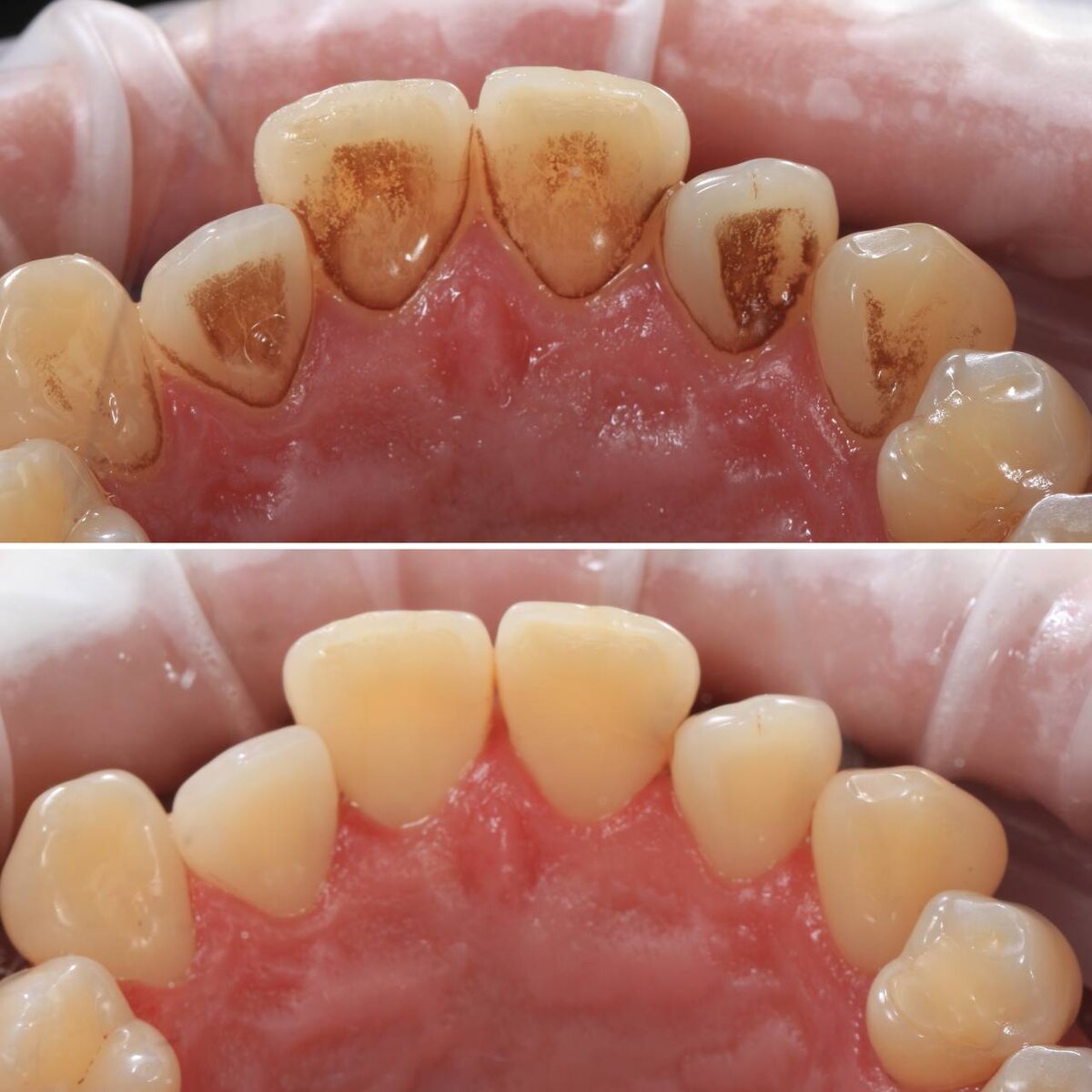
Налет на зубах может иметь желтоватый или темный оттенок, и это часто связано с недостаточной гигиеной полости рта. Такие привычки, как употребление чая, кофе и курение, а также влияние пищевых пигментов, могут способствовать потемнению эмали зубов. Однако это явление не всегда является неизбежностью.
Причины налета на зубах
Основные причины появления налета включают:
- Недостаточная чистка зубов, при которой налет накапливается в труднодоступных местах, таких как внутренние поверхности зубов или в трещинах и ямках.
- Употребление красящих продуктов и напитков, поскольку углеродная пленка на поверхность зубов может поглощать пигменты, что приводит к образованию налета.
Как поддерживать чистоту зубов?
Чтобы сохранить белизну и здоровье зубов, стоит уделять внимание не только ежедневной гигиене, но и регулярным профессиональным очисткам. Специалисты рекомендуют:
- Использовать качественные зубные пасты, которые специально разработаны для устранения налета и укрепления эмали.
- Посетить стоматолога для профессиональной гигиены полости рта минимум дважды в год.
Таким образом, правильный подход к гигиене поможет избежать многих проблем, связанных с налетом на зубах и сохранит их здоровье на протяжении многих лет.









































